Cover Story
National Biomechanics Day (NBD)—April 7, 2021—is a worldwide celebration of biomechanics in its many forms for high school students and teachers. Sponsored by The Biomechanics Initiative, NBD is in its 6th year of celebrating all things biomechanics. NBD’s goal is to accelerate the growth and impact of biomechanics science and application by introducing biomechanics to ...
Expert Opinion
As a practicing podiatrist for 40 years, I have seen thousands of patients. About 33 years ago, I became frustrated with the fact that although many of my patients responded to conventional treatment, many did not, and I wanted to know why. To me, this was the missing link in improving my percentage of successful ...
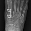
Patient Guidance
The bunion deformity, technically termed hallux abductovalgus or HAV, is a 3-plane positional deformity of the great toe and first metatarsal and can ultimately lead to pain with shoe wearing and walking. Conservative treatment is always favored first; however, the only way to truly eliminate the deformity itself is by surgical correction.
By Paul J. Betschart, ...
Features
Center of pressure is a critical biomechanical measure of human postural control and gait, particularly in chronic ankle instability. Evidence from biofeedback studies reveals COP may be modified to improve gait and functional movement.
By Danielle Torp, MS, ATC; Luke Donovan, PhD, ATC; Abbey Thomas, PhD, ATC
Falls are highly prevalent in people with multiple sclerosis (MS) and result in a range of negative consequences, such as injury, activity curtailment, reduced quality of life, and increased need for care and time off work.
By Susan Coote, PhD; Laura Comber, PhD; Gillian Quinn, PhD; Carme Santoyo-Medina, MSc; Alon Kalron, PhD, PT; Hilary Gunn, PhD
Surgical site dehiscence is one of the most commonly reported complications seen post-operatively. Surgical wound dehiscence (SWD) is defined as the separation of the margins of a closed surgical incision that has been made in skin, with or without exposure or protrusion of underlying tissue, organs, or implants.
By Windy Cole, DPM, CWSP
COVID-19 Update
Facemasks are the most widely used tool for mitigating the spread of the COVID-19 pandemic. Decreased disease severity by the wearer has also been linked to the use of cloth facemasks. This well-documented finding is surprising considering that such masks are poor at filtering the smallest aerosol particles, which can reach the lower respiratory tract ...
The long-awaited vaccines to ward off COVID-19 may be getting into people’s arms, but clinicians’ offices around the country are still asking, “are we doing all we can to keep our patient safe?” In addition to the current procedures of cleaning between patients with ultraviolet light or harmful chemicals, new technology is coming online to ...
Everyday glasses—the kind worn by hipsters and nerds alike—may do more than just improve eyesight. Two recent studies are reporting that wearing eyeglasses—to the tune of 8 or more hours a day—appears to slow or even prevent the wearer from becoming infected with SARS-CoV-2, the virus that causes COVID-19.
From the Literature
The most common neuropathy associated with diabetes mellitus is distal symmetrical polyneuropathy, also known as diabetic peripheral neuropathy (DPN). It affects around 12–50% of individuals with diabetes. DPN is a known important risk factor for serious adverse sequelae such as foot ulceration and amputation.






















