By Paul J. Betschart, DPM
Who is this for?
People with bunions that may have failed conservative care and are considering surgical treatment.
Who is this not for?
People looking for a miracle cure or are chasing the latest fads in bunion treatment.
The bunion deformity, technically termed hallux abductovalgus or HAV, is a 3-plane positional deformity of the great toe and first metatarsal and can ultimately lead to pain with shoe wearing and walking. Conservative treatment is always favored first; however, the only way to truly eliminate the deformity itself is by surgical correction. Bunion surgery has been performed for over 100 years, with many procedures and variations described. Over the last 30 years, advances in bone fixation techniques have improved the outcomes and longevity of bunion correction surgery. There are 3 main ways of surgically approaching the non-arthritic bunion deformity.
Non-arthritic bunion options
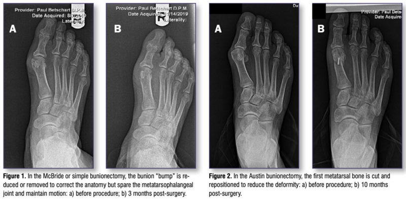
- Simple bunionectomy (-ectomy means surgical removal): In this procedure, the bunion “bump” is reduced or removed with various surgical instruments. This type of procedure has the shortest average recovery time and lends itself to minimally invasive techniques. It does not, however address the 3-plane nature of the deformity and the associated soft tissue imbalances that occur in the HAV deformity, thus making recurrence of the condition likely over time. Adding soft tissue release/re-balancing and/or adductor tendon transposition can help address the underlying issues and lessen the recurrence rates. The typical recovery time is 3-4 weeks in a surgical shoe, followed by 3-4 weeks in sneakers or other roomy footwear. Impact activities can usually resume after 4 weeks as tolerated. My preference is to reserve this type of procedure for mild deformities or for patients whose bone quality would make bone procedures ill advised. See Figure 1.
- First metatarsal osteotomy (osteotomy means surgical cutting of bone or removal of a piece of bone): In this procedure, the first metatarsal bone is cut and repositioned to reduce the deformity. There are numerous techniques described for this type of procedure. The most commonly performed is the distal chevron osteotomy, also known as the Austin bunionectomy. A small surgical saw is used to cut through the metatarsal at the end closest to the toe. The end of the bone is then shifted toward the second metatarsal and secured to the other segment with a small screw or pin for stability during bone healing. The geometry of the bone cut makes it very stable, allowing for immediate post-operative protected weight bearing. On its own, it is also not a 3-plane correction. As with the simple bunionectomy, adding soft tissue release/re-balancing and tendon transposition can help improve the correction and reduce recurrence rates. This is a versatile procedure that can address the mild to moderate bunion effectively. It has the advantage of being able to be performed in an office surgical suite setting, under local anesthesia, potentially saving out-of-pocket costs for patients with high deductible health plans. The recovery period is typically 4-6 weeks in a surgical shoe followed by 4-6 weeks in sneakers or other loose-fitting shoes. Impact activities can usually be resumed at 8-10 weeks. See Figure 2.
- Lapidus procedure: The Lapidus procedure is the only bunion correction that allows for a 3-plane correction of all the components of the bunion deformity while also stabilizing the mechanical instability of the first ray, the actual cause of the bunion. This procedure involves fusing the joint between the first metatarsal and the bone behind it, the medial cuneiform bone. Advances in instrumentation and fixation, such as the Lapiplasty System by Treace Medical, allow for precise correction and strong fixation, thus enabling immediate protected weightbearing in a controlled ankle motion (CAM) walking boot. Protected weightbearing in the boot is for 6-8 weeks followed by wearing sneakers or other roomy shoes for an additional 4-6 weeks. Impact activities can usually resume after 3 months. Recurrence rates for this procedure are extremely low due to the complete 3-plane correction and the stability of the fusion procedure. See Figure 3.
Arthritic bunion options
Some bunion deformities are related to arthritic conditions, for example, rheumatoid arthritis, gout, post-traumatic arthritis, as well as others. In addition, a long-standing bunion deformity can cause premature wear of the joint surfaces leading to degenerative arthritis. When arthritis is present in the great toe joint, the previously described approaches to the condition can improve the appearance of the bunion, but may result in a painful, stiff joint if the arthritis is not addressed. The arthritic bunion deformity requires a different approach. There are also 3 main ways an arthritic bunion can be addressed.
- Arthroplasty (arthro- means relating to joints; -plasty means molding, grafting, or formation of a specified part): Arthroplasty of the great toe joint, also called the Keller procedure, is the simplest of the 3 procedures. This involves removing part of the joint as well as the bunion bump. Usually, soft tissue from around the joint is placed in the space where the bone was removed to act as a spacer. This procedure has a similar recovery to a simple bunionectomy. Motion of the toe joint remains after surgery, but some loss of strength of toe flexion is typical. This procedure works well for mild to moderate deformities. Larger deformities may have a tendency for recurrence due to the instability of the toe from joint removal. See Figure 4.
- Implant arthroplasty: Implant arthroplasty involves removing the entire joint and replacing it with artificial components. Many materials have been used for great toe joint replacement. The best type of device for the arthritic bunion condition is the semi-constrained silastic implant. These devices have the advantage of being able to hold the great toe in a corrected position after surgery, making them useful with larger deformities. The main drawback with implants is the fact that the materials do not last forever. Materials and/or the bone surrounding the implant can degenerate over time leading to implant failure and the need for revision. The usual life span of most artificial joints is 10-15 years. Recovery time of implant arthroplasty is similar to a first metatarsal osteotomy procedure. See Figure 5.
- Arthrodesis (surgical immobilization of a joint): Arthrodesis of the great toe joint is the only permanent solution to the arthritic bunion deformity. It can also provide 3-plane correction and stability of the first ray, making it useful with larger deformities. Advanced fixation techniques allow for immediate protected weightbearing in a CAM walking boot. Recovery time is similar to the Lapidus procedure. The functionality of the fused great toe joint is actually very good – this procedure has even been performed successfully in high-level athletes. The biggest problem with the fused great toe joint is the limitation of the ability to wear higher heeled shoes. See Figure 6.
How to know what procedure is best for you
A consultation with a board certified foot and ankle specialist with a comprehensive evaluation and review of imaging studies is a good place to start. Multiple factors are considered when deciding on a surgical approach and should be individualized for each patient. A second opinion should be sought if you are unsure of the direction to take. Surgical management should only be considered after carefully weighing the options, benefits, and risks of all approaches.
Anyone needing more information on bunion correction surgery is invited to contact me at my office in Danbury, CT, or visit our website for more information www.advancedfootandanklecenter.com
Paul J. Betschart, DPM, FACFAS, is a podiatrist in private practice in Danbury, Connecticut. A Fellow of the American College of Foot and Ankle Surgeons, his goal is to help his patients achieve optimal health from the ground up.










