Ankle joint-position sense (A-JPS) is the body’s awareness of the ankle’s position in space—more commonly known as ankle proprioception. A-JPS plays a crucial role in balance and stability, particularly in sports. This research team wanted to understand if static stretching could improve A-JPS in soccer players.
Lower Extremity Review
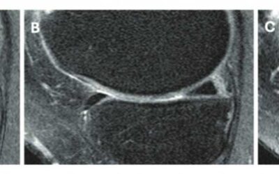
MRI vs SPECT-CT in Diagnosing Fracture-Related Talar Osteochondral Lesions
Ankle fractures are common, and although treatment is generally successful, up to 50% of patients experience long-term functional issues. One potential cause is the presence of hidden osteochondral talar lesions (OCTLs), which may not be easily detected with traditional imaging methods like MRI. While MRI is widely used, it often reveals OCTLs that are not related to symptoms, making clinical interpretation difficult.
The Effects of Exergaming in Improving Physical Health and Well-Being
Researchers in Singapore explored how different exergaming modes affect exercise intentions, fear of falling, and emotional well-being in older adults, particularly those from low socioeconomic backgrounds—a group often overlooked in such research. 48 participants took part in a four-week community-based intervention, divided into 4 groups…
Growth in Use of Electric Biking Linked to Increase in Injury
Electric biking (E-biking) has been growing in popularity. High-impact injuries are linked to this new recreational and transportation source. A new study brings light to the growth of E-bike related injuries and details the distribution between age, sex and the primary source of E-bike related injuries in the US.
Optimizing Outcomes for Lisfranc Injuries
Lisfranc injuries, once described fracture-dislocations of the tarsometatarsal joints and considered rare, are now recognized to occur more frequently and in subtler forms due to advancements in imaging. These injuries vary significantly in severity and anatomical presentation. Early diagnosis is critical for favorable outcomes. Traditional anatomy-based classification systems have limited treatment utility
Joint Preserving Surgery Yields Positive Outcomes in RA Forefoot Deformity
A new retrospective study evaluated 74 feet in 57 rheumatoid arthritis patients with severe hallux valgus (HV) deformity (Larsen grade ≥3), comparing first metatarsophalangeal (MTP) joint arthrodesis (27 feet) and joint-preserving surgery (47 feet). Procedures were performed at Japan’s Kyushu University Hospital between 2008 and 2022. Clinical outcomes were assessed using the…
Individuals with Charcot-Marie-Tooth Disease
Impaired balance and functional deficits are common in individuals with Charcot–Marie–Tooth disease (CMT). Many individuals with CMT use ankle foot orthoses (AFOs) to improve their balance and function. The aim of this study was to evaluate the fall frequency, perceived effect of AFOs on balance, and balance confidence of individuals with CMT who currently use AFOs.
Meta-Analysis Shows Chinese Therapeutic Massage Is Safe & Effective for CAI
Ankle sprains are among today’s most common injuries. They can range from mild with no loss of function to debilitating and even disabling. And while a significant number of patients will go on to develop chronic ankle instability (CAI), there remains no ideal management. Conservative therapy is the first line, with surgical interventions used as a last resort.
A Novel Scoring System Predicts Mortality and Morbidity After BKA
Patients undergoing below-knee amputation may experience considerable postoperative mortality risk, particularly in the presence of comorbid conditions. The aim of this study was to present a newly developed risk index and scoring system to predict 1 year mortality, morbidity, and functional independence in patients undergoing below-knee amputation.
Effects of Footwear Design on Women with Plantar Heel Pain
Footwear is often recommended in the management of plantar heel pain (PHP), theoretically to reduce tissue stress during standing and walking. However, limited data exist to guide footwear design and recommendations. The aim of this study was to investigate the effect of both shoe and shoe insert designs on in-shoe plantar pressures, vertical ground reaction force and underfoot comfort in individuals with PHP.
Intra-articular Knee Injections and KOA
At least 10% of all patients with knee osteoarthritis (OA) undergo treatment with injectable corticosteroids or hyaluronic acid (HA). Although both have been shown to help with symptomatic pain relief, their long-term effects on knee OA progression remain inconclusive. The overall aim of this study was to investigate the association between intra-articular knee injections, specifically with corticosteroids and…
Building Core Outcome Set for Foot & Ankle in Rheumatic and Musculoskeletal Diseases
The foot and ankle are frequently affected in rheumatic and musculoskeletal diseases (RMDs), yet there is a lack of high-quality evidence to determine the effectiveness of treatments. Outcomes in research are often inconsistently measured, impeding evidence synthesis. Additionally, clinical decisions are based on research outcomes, but these are…
3D Printing Enables Dose-Response Approach to Foot Orthotic Therapy
No matter which biomechanical principles we utilize to prescribe and produce custom foot orthoses for our patients, we all must admit that prescribing footwear interventions is not like prescribing medication – no one knows the right dose. How stiff should the shell be? How high should the arch be? How much rearfoot or forefoot posting is optimal for that specific patient? An experienced practitioner can make reasonable inferences and often produce a beneficial…
By Paul Langer, DPM
CAGA 101: The 12 Dirty Truths of Foot Mechanics
Dirty Truth #4: Shock Absorption is Energy Loss–Understanding Loading in Gait Analysis
Perhaps the most surprising and unintuitive of all the dirty truths is number four, “Shock absorption via cushion is energy loss.” At first blush, cushion seems like a no-brainer benefit. When we delve into this idea a bit deeper, applying our structure, the forces acting on the lower limbs, and applying the physics that we talked about in the last three dirty truths, the truth of number four becomes clear.
By Jay Segel, DPM; Sally Crawford, MS
Forefoot Adduction Strengthens the Abductor Hallucis in HV
Integrating targeted exercises focused on AH strengthening, both pre- and post-surgery, offers a comprehensive approach to HV management. The abductor hallucis (AH) is the most important muscle in the…
By Giacomo Farì, Laura Dell’Anna, Francesco Paolo Bianchi, Rachele Mancini, Enrica Chiaia Noya, Carlo De Serio, Riccardo Marvulli, Luisa De Palma, Danilo Donati, Roberto Tedeschi, Maurizio Ranieri, Marisa Megna, and Andrea Bernetti
Join
Subscribe For Updates
Stay in the loop with the latest news and updates! Subscribe now to receive exclusive content, special offers, and important announcements straight to your inbox. Don’t miss out – join our community today for all the latest updates delivered directly to you.
















