
iStockPhoto.com #1157013000
This overlooked, often-left-undiagnosed ankle pathology causes long-term pain and instability. Appropriate treatment protocols, applied in a timely manner, can get patients back on their feet.
By Scott Pensivy, PT, LAT, ATC
The ankle presents an interesting dichotomy of strength and frailty: Whereas the ankle supports body weight, makes sharp twists and turns, and keeps the body from falling, it simultaneously can be frail and susceptible to sprains, strains, and even fractures from simple movements, such as stepping off a curb, or drastic trauma, such as stepping into a hole while running at full speed.
The healing process seems simple: namely, the RICE principle—rest, ice, compression, elevation—with possible ankle bracing or taping while performing activity. However, not all ankle trauma follows this roadmap to recovery and healing: When an ankle continues to demonstrate pain for longer than the typical healing time after the original diagnosis, misdiagnosis might be an issue, and other pathologies need to be considered—in particular, as I describe here, fracture of the os trigonum.
What Is It?
The os trigonum is an elongation of the posterior aspect of the talus, located at the posterior aspect of the talus and lateral to the flexor hallucis longus tendon. Usually an extension of the posterior talus process, it has also been identified as a separate process.
The prevalence of os trigonum has varied widely in the literature; based on newer findings, it is more common than once thought:
A 2019 study of computed tomography (CT) scans of the ankle in 586 Chinese patients found an incidence of 27%.1
In a 2018 study of CT scanning of 1256 ankles (628 patients with 665 symptomatic ankles), os trigonum was found in 30.3% of the entire cohort2; furthermore, nearly 24% of unaffected ankles were marked by the condition, making it far more common than previously reported.
In a small subset of cases without impingement in the same 2018 study, prevalence was about the same (30%).2
The first appearance of an os trigonum is commonly at approximately 9 years of age; it has been seen in children as young as 7 months. In rare situations in older adults, the bone is fused to the calcaneus or both tarsal bones.
Repetitive Microtrauma Leads to Chronic Pain
Because fracture of the os trigonum is rare, the condition can be misdiagnosed, which can lead to chronic pain, instability, diminished function in the ankle, and other upper-kinetic-chain injuries. (See “Case: longstanding ankle pain in a ballet dancer,” page 52.)
A patient with an os trigonum fracture typically has chronic ankle pain or chronic ankle pain that does not completely resolve. A plantarflexion inversion sprain is the prime mechanism for acute fracture of the os trigonum, accounting for nearly 85% of cases.3 Often, these cases are misdiagnosed and treated as a typical lateral ankle sprain.
Once the os trigonum escalates into a chronic problem, consistent ankle pain does not resolve with protocols used to treat a lateral ankle sprain and pain; surgery might be required. When the fracture results from traumatic ankle sprain, damage can also occur as the os trigonum gradually separates from the talus, due to repetitive microtrauma. Such injuries are typically the result of weakness, overuse, or poor mechanics. (Consider what happened to a 15-year-old competitive ice skater who is a patient in my practice: Because she would jump in the rink for hours at a time, she eventually suffered microtrauma of the os trigonum. Her diagnosis was os trigonum fracture, or traumatic ankle repetition microtrauma.)
Case: Longstanding Ankle Pain in a Ballet Dancer
A 25-year-old professional ballet dancer presented with a complaint of a 6-year history of chronic left ankle pain. Initial onset was caused by a severe plantarflexed inversion sprain that she sustained while performing. The pain alternately increased and diminished over those 6 years, but never disappeared. She reported having a high tolerance to pain, and dancing through the ankle pain.
Recently, a moderate lateral ankle sprain left her nonfunctional and incapacitated. She complained of left ankle pain, effusion, and decreased function that did not resolve. After several weeks of a conservative treatment protocol elsewhere, the pain, dysfunction, and instability lingered.
During initial evaluation in our facility, the patient also complained of lateral ankle pain. A pronatory foot-type presented with a closed kinetic compensatory forefoot and rearfoot valgus deformity with moderate adductor hallucis valgus of the first ray. Decreased range of motion was noted in active plantarflexion and passive dorsiflexion. Pain increased with ankle valgus and equinus. Passive dorsiflexion exacerbated the pain in the posterior ankle region of the os trigonum. The patient reported that the pain was greatest while taking the calcaneus and passively forcing it caudally and superior, a move specifically meant to activate the os trigonum region.1
The patient ambulated with an antalgic gait with decreased midstance on left, with a compensatory rearfoot and forefoot valgus and minimal toe-out. She had minimal-to-moderate effusion in the posterior area just medial to the medial malleolus. She stated that radiographs were reported as unremarkable.
The patient was given a prescription to be treated for lateral ankle sprain and was placed on a lateral ankle protocol for 1 month.
A month later, the patient reported minimal improvement—not significant enough to allow her to return to the demanding schedule of a professional dancer. This ankle sprain was judged not to be following a normal healing pattern for an ankle sprain diagnosis. The physical therapist recommended a second opinion by an orthopedic foot surgeon.
The surgeon ordered a bone scan and a CT scan, which revealed a lateral ankle sprain and obvious fracture of an os trigonum. He recommended surgery and performed an os trigonumectomy 2 days later.
Nine weeks later, after a full course of physical therapy as described above, the patient returned to full dancing activity with the ballet company—without pain or restrictions.
Recovery in this case was hindered by a late diagnosis. The lesson to be learned? Timely and appropriate diagnosis enhances a patient’s rehabilitation potential; as we were often taught in school, “Treat the cause, not the symptoms.”
Reference
- Russell JA, Kruse DW, Koutedakis YI, McEwan IM, Wyon MA. Pathoanatomy of posterior ankle impingement in ballet dancers. Clin Anat. 2010;23(6):613-621.
How to Identify an Os Trigonum Fracture
Physical evaluation. Subjectively, a patient’s increased pain during palpation of the posterior medial ankle, just posterior to the medial malleolus, can make the examining clinician aware of underlying ankle pathology. In addition:
- Pain can be present when the ankle is passively in an equinus or valgus position.
- Because of the relationship of the flexor hallucis longus to the os trigonum area, a patient can also experience pain with active or passive dorsiflexion or contraction of the flexor hallucis longus, and increased pain upon plantarflexion.4
- A patient might have crepitus, local ecchymosis, or pain, or a combination of these findings, in the retrocalcaneal space.
- Additionally, there might be weakness in weight-bearing upon plantarflexion on the involved side.
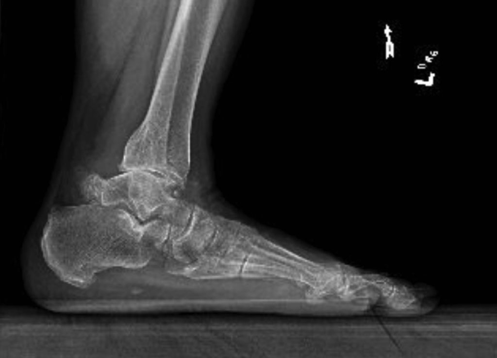
Imaging. Once objective and subjective values have been collected, the clinician should obtain a lateral ankle plain film to confirm or rule out a fractured os trigonum. A positive fracture site is marked by separation and a rough, jagged edge in the region of the os trigonum (Figure, page 54). Smooth areas on the radiograph are a sign that there is no fracture.
In some patients, a nuclear bone scan can determine the integrity of the osseous components and also verify the diagnosis. The best test for revealing osteolytic pathology is a CT scan; getting insurance coverage for such a procedure is another story. Some orthopedic surgeons also inject lidocaine, 1.2 cc, into the os trigonum area. If symptoms disappear or change for the positive, this can confirm the fracture.
Surgical Intervention and Rehabilitation
When a fracture of an os trigonum is caught early, a short-leg cast might handle the problem; if the condition becomes chronic, however, surgical intervention might be the only avenue to full recovery. Factors that lead to surgical intervention include:
- severe antalgic pain
- decrease in function
- pain
- effusion
- decreased range of motion
inability to perform a particular activity that one wishes to (eg, a professional dancer or basketball player who needs to spring off the ankle without limitation).
Technique. Surgical intervention involves taking a lateral approach to the ankle. The incision is made posterolateral to the lateral malleolus. The sural nerve in the peroneal tendon needs to be identified and carefully avoided. The os trigonum is identified and excised by the surgeon with additional exploration to rule out any other further osteolytic problems in the area.
Postop imaging. Postsurgical radiographs are taken. The patient is sent for rehabilitation with an experienced physical therapist, at which time a second radiograph is taken to rule out any hidden osseous lesions or other fragments.
Rehab. The physical therapy protocol consists of evaluating and treating the patient for 4 to 6 weeks, addressing effusion, gait, function, strength, range of motion, proprioception, and kinesthetic awareness, all while managing pain. Ankle protocols include progressive resisted exercise and dynamic and functional activities.
Treatments can include iontophoresis, phonophoresis, electrical stimulation, blood-flow restriction, massage, cupping, dry needling, and acoustic waves. During the first week of rehabilitation, activity of the flexor hallucis longus is minimized; single toe-ups are usually contraindicated because this maneuver irritates the affected region.
The patient should be evaluated for possible pronatory foot caused by eccentric contraction of the flexor hallucis longus tendon. If this problem is identified, the therapist can use tape to help stabilize the joint by decreasing pronation and enhancing supinatory motion. Stabilizing the joint allows it to rest, relieves pain, and decreases excessive forces to the region of the os trigonum.
Taping is a good first test before ordering a custom orthosis. If the taping technique relieves pain, a prescription for an orthosis might be helpful. If the patient has significant forefoot and rearfoot compensated valgus, a custom orthosis should definitely be considered. If the joint is in a pronatory state, taping prevents eccentric contraction of the flexor hallucis longus from entering into the midstance in a concentric contraction of pushing off with a forefoot and rearfoot compensated valgus posture.
Other treatments and modalities that enhance healing include cryotherapy, paraffin, and aquatic therapy. I have had patients with a fracture of the os trigonum in postop rehabilitation who do extremely well using an underwater treadmill or the AlterG antigravity treadmill (AlterG, Fremont, Calif.). In my practice, I have also seen blood-flow restriction work to enhance metabolic activity or hacking the metabolic system to improve healing groundwork.
Scott Pensivy, PT, LAT, ATC, is President, Pensivy Sports Medicine Institute, and founder, PT ProCare, both in Las Vegas, Nevada.
- Fu X, Ma L, Zeng Y, He Q, Yu F, Ren L, et al. Implications of classification of os trigonum: a study based on computed tomography three dimensional imaging. Med Sci Monit. 2019;25:1423-1428.
- Zwiers R, Baltes TPA, Opdam KTM, Wiegerinck JI, van Dijk CN. Prevalence of os trigonum on CT imaging. Foot Ankle Int. 2018 Mar;39(3):338-342.
- Lin CW, Hiller CE, Bie RA. Evidence-based treatment for ankle injuries: a clinical perspective. J Man Manip Ther. 2010;18(1):22-28.
- Zeichen J, Schratt E, Bosch U, Thermann H. Os trigonum syndrome. Unfallchirurg. 1999;102(4):320-323.








