Cover Story
Differences in equipment, terrain, riding style, and other risk factors mean different types and prevalence of injuries when riding a mountain bike, compared to a road bike. Be prepared to see those differences in your practice. Over the past several decades, mountain biking has become remarkably popular as a competitive and recreational activity.
By Michael Reeder, ...
Guest Editorial
The International and American Societies of Biomechanics were founded in 1973 and 1977, respectively. Coincident with the expansion of Biomechanics during the following decades, fitness and health have moved out from under the realm of medicine and are rapidly overtaking the realm of the personal—the personal lifestyle to be more exact (think yoga, yogurt, and ...
Feature Articles
Limited research into electromagnetic and ultrasound bone stimulation devices complicates efforts to determine efficacy. For the majority of people, lower-limb fractures and fractures in other parts of the body heal well and reliably. However, some people experience complications that may cause significant harm.
By Nicole Wetsman
For help limiting the number of opioid tablets you prescribe—and to still treat postop pain successfully—turn to practice guidelines, evidence from the literature about local and regional anesthesia techniques, and constraints of the law.
By Robert G. Smith, DPM, MSc, RPh, CPed, CPRS
Taping is a mainstay of preventive foot blister management in athletes and active people. Its use is based on the premise that rubbing causes blisters, and that tape protects the skin from this rubbing and/or provides thermal insulation from the heat generated by rubbing.
By Rebecca Rushton, Bsc(Pod)
Here’s why resistance therapy with these low-tech tools is gaining prominence—for youth soccer players, geriatric patients, and everyone in between. Elastic resistance bands are increasingly popular in physical therapy as the modality is being used to treat a wide number of lower-extremity problems on a diverse patient population that covers everyone from youth sports players ...
From the Literature
Foot orthoses are considered to work by controlling internal rotation of the tibia and eversion of the calcaneus, and have been reported to be effective during weightbearing activities such as walking and running. As a result, they have been shown to be effective in managing a range of musculoskeletal conditions—not the least of which is ...
Hamstring strain incidence in soccer increases during the latter stages of match-play, consistent with experimental studies that report reduced eccentric hamstring strength during soccer-specific fatigue. The biarticular function of the hamstring is such that fatigue-induced changes in strength are also likely to have an impact on…
By Matt Greig, MPhil, PhD
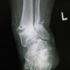
Early recognition and treatment of Charcot neuroarthropathy has been long considered paramount to optimizing clinical outcomes and delivering high-quality care. Without this rapid response to control the devastating effects of Charcot, patients are left with significant deformities; increased risk of ulcers, infection, and…
By Jonathan M. Labovitz, DPM, FACFAS, CHCQM
Stroke often impairs walking, particularly by altering foot clearance during the swing phase. Activity of the tibialis anterior (TA) plays an important role in foot clearance; clinicians often prescribe an ankle-foot orthosis (AFO) for post-stroke patients to help with foot clearance.

























