
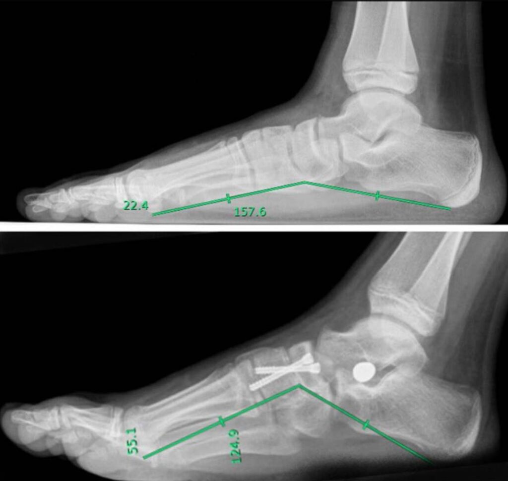
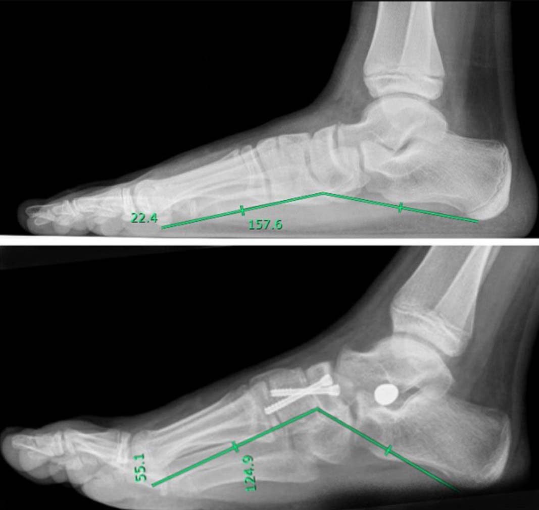
Figure. Evaluation of Costa-Bertani angle in a pre (top panel) and post (bottom panel) surgical x-ray in a right foot. The Costa-Bertani angle is a measurement used to evaluate the stability of the foot’s longitudinal arch. Inclusion criteria for surgery was Costa-Bertani angle >140 degrees.
Although surgical alignment of the rear-foot might be sufficient to achieve acceptable correction of pronation-distortion deformity, concomitant correction of the medial arch might improve functional results.
These authors present experience with combined hind-foot alignment and medial arch reconstruction by in-situ naviculocuneiform arthrodesis for treatment of flexible flatfoot in children. They retrospectively evaluated clinical data available from pediatric (< 18 years old) patients treated for flexible flatfoot in the department of orthopedics at the Villa Aprica Clinical Institute in Como, Italy.
160 surgical corrections of flat foot in 94 children were performed over the study period. Median age was 13 (range, 12–14) years. All patients had a minimum postoperative follow-up of 24 months. Overall postoperative outcomes were optimal in 82% (n = 113/160) of cases, good in 15% (n = 24/160) of cases, and adequate in 3% (n = 3/160) of cases. At 24-month follow-up, complete surgical correction of deformity was achieved in 89% (n = 143/160) procedures. Complete consolidation of arthrodesis was achieved within 3 months from surgery in 84% (n = 134/160) of cases, between 3 and 6 months in 12% (n = 21/160) of cases. There was a significant difference in pre-operative AOFAS score among the different weight categories (P < 0.001). At post-hoc analysis, obese (OB) patients had lower AOFAS versus normal weight or overweight (OW) patients. At 24-months follow-up, there was a significant difference in AOFAS scores among the different weight categories (P = 0.04). At post-hoc analysis, OB patients had lower AOFAS versus OW patients. There was no difference in AOFAS scores at final follow-up (P = 0.12). Postoperative pain was absent in 88% (n = 140/160) of cases.
At a minimum 24-month follow-up, the authors concluded that patients who undergo flat-foot deformity correction using a surgical technique combining sinus tarsi arthroeresis and medial arch reconstruction by naviculocuneiform arthrodesis experience good short-term results.
Source: De Marchi F, Crippa IA, Anghilieri FM, et al. Benefits of combined hind-foot alignment and medial arch reconstruction surgery in children with flexible flatfoot: a case-series analysis. Arch Orthop Trauma Surg. 2025;145(1):259. doi: 10.1007/s00402-025-05831-x. Use is per CC BY 4.0.






