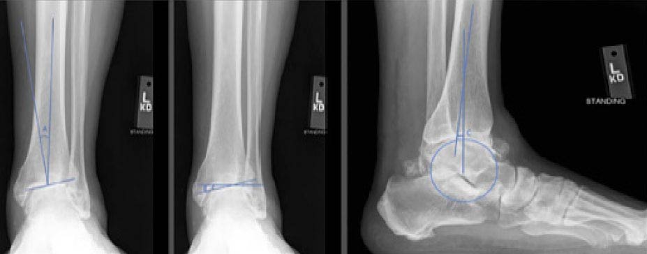
In this longer-term follow-up of a limited cohort (48 patients/50 ankles, average age at index surgery: 64 years), Salto Talaris fixed-bearing total ankle arthroplasty demonstrated good long-term survival (Kaplan-Meier estimated survivorship was 84.2%) with relatively low rates of revision or other complications. Patient-reported outcome and range of motion measures revealed good stability.
Source: Veale M, Endo A, Veale N, et al. Salto Talaris fixed-bearing total ankle arthroplasty: long-term results at a mean of 10.7 years. Foot Ankle Orthop. 2024;9(1):24730114231225458. doi: 10.1177/24730114231225458.








