Active children may play through the micro-traumas creating this potentially damaging condition. Keep OCD in mind when children report pain in the ankle, particularly when BMI is high.
By Mark J. Mendeszoon, DPM, FACFAS; and Hayley E. Iosue, DPM, AACFAS
Juvenile osteochondritis dissecans (OCD) of the talus is a rare condition in the pediatric population, thus literature on this condition is minimal. In 1922, Kappis described this condition in the talus.1 It involves an initial idiopathic injury to the subchondral bone of the talus that can eventually progress to injury of the articular cartilage. Early recognition and conservative management is the primary treatment protocol, followed by surgical intervention if a patient does not respond favorably to noninvasive treatment. Osteochondral dissecans should not be confused with osteochondral fractures, which are typically an acute injury. Due to the long-term impact this injury may present, it is imperative that the physician recognize, diagnose, and appropriately manage this condition to minimize any subsequent sequelae.
The talus is a unique bone. It has an unusual shape, a lack of muscle attachments, and 5 surfaces covered in cartilage. Unfortunately, the talus has marginal circulation. Blood supply to the talus is primarily supported by the posterior tibial artery, then the anterior tibial artery and peroneal artery.
The ankle is a hinged joint, where the anterior portion is wider than the posterior portion, and it has a complex multi-axial range of motion (ROM). Thus, when osteochondral lesions develop, medial and lateral lesions are the 2 most common locations. Dorsiflexion-inversion injuries create a shallow anterior-lateral lesion (DIAL) and plantarflexion-inversion injuries create a deeper posterior-medial lesion (PIMP).2
Microtrauma is the precipitating factor causing osteochondral dissecans of the talus.3 As there is typically no acute traumatic injury noted, most children will continue to be active and spontaneous healing will take place. In cases where the talus does not heal and the ankle joint undergoes repetitive motion and microtrauma, the result is stiffness, edema, and pain, which could develop into an osteochondral lesion and in some instances progress to osteoarthritis.4,5
Ankle OCD cases represent 4% of all OCD cases.6 In the pediatric population, female patients, teenagers, and children with a higher body mass index (BMI) are at higher risk for OCD of the ankle.7 Typically, pediatric patients do not recall an acute traumatic injury but an insidious onset of ankle pain, edema, or stiffness. Pain is the predominant presenting complaint in children with an OCD lesion.3,8 Perumal found that 97% of patients complain of pain in the ankle with an OCD lesion.9 It is imperative to obtain a thorough history and physical to appreciate and investigate the activity that may have precipitated this injury. If the lesion does not spontaneously heal, the joint pain will persist or worsen with activity and eventually the ankle joint will become stiff and swollen.
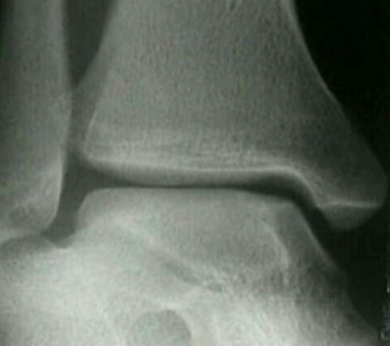
Initial imaging should include anteroposterior (AP), medial oblique (MO), and lateral radiographs of the ankle to evaluate for a defect. It is imperative the treating physician appreciate the mechanism of injury and thoroughly evaluate the radiographs personally for a lesion on the talus. If a more detailed view of the OCD is warranted, an MRI can be obtained. MRI is considered the gold standard in imaging for juvenile OCD of the talus and is found to be highly accurate, with a sensitivity of 92% and specificity of 50%. CT scans may also provide a useful better evaluation of the subchondral bone and could assist with surgical planning.10
OCD lesions in the pediatric population have a high rate of spontaneous healing.5 The goal of management of these defects is to preserve the articular cartilage and heal the associated damage as soon as possible, yet there are very few clear management guidelines within the literature.
Conservative treatment options should be considered for all stable lesions and partially stable lesions in the pediatric and adolescent patient population. Non-operative treatment modalities include cast immobilization, non-weight bearing ankle joint ROM, protected weight bearing, and activity modification. Many studies suggest a conservative treatment protocol of at least 6 weeks in a non-weight bearing cast followed by 3 months of non-weight bearing but allowing for active ROM.3,8,9
Another treatment option to consider prior to or as an adjunct to surgical intervention is regenerative medicine. Platelet rich plasma (PRP) can be useful in the treatment of pediatric OCD due to benefits associated with healing and possible cartilage repair. PRP has been shown to cause mesenchymal stem cells to go through chondrogenic differentiation with increased type II collagen in the joint. It has also been shown to improve the cartilaginous infill via chondrocyte proliferation and mesenchymal stem cells, thus decreasing the chance of subchondral cyst formation.11 Many growth factors found within platelets can improve the environment in which cartilage can heal and decrease the inflammatory processes within a joint containing OCD.12 In addition to PRP, the use of human amniotic tissue allograft has shown promising healing potential in patients with OCD.13
Surgical Treatment
As most osteochondral dissecans lesions in the pediatric population respond favorably to conservative treatment, only a small percentage will need surgical intervention. Surgery for osteochondral lesions can be divided into 2 categories: lesion salvage and lesion excision procedures. The size of the lesion is the determining factor for which initial procedure is indicated and would be in the patient’s best long-term interest. In the study by Chuckpaiwong et al, the benchmark size predicting outcome was 150mm2.14 They saw no treatment failures in lesions smaller than 150mm2, while 96% of patients had a bad outcome with lesions of greater size. In addition, it is a priority to determine if a lesion is contained within the surface area of the talar dome or if the lesion is uncontained and extending into the shoulders of the talus, which can be determined with advanced imaging.
Lesion salvage procedures include arthroscopic joint debridement with microfracture or drilling of the lesion. If the lesion is unstable and irreparable, then excision of the lesion with trans-articular drilling or microfracture is suggested. If the lesion is stable, then internal fixation with an appropriately sized bioabsorbable implant is required. Typically, lesion salvage procedures are initially indicated and performed on the pediatric patient.15 Other surgical treatment options include fetal particulated articular cartilage cell placement with fibrin glue,16 matrix-induced autologous chondrocyte implantation (MACI),17 and subchondroplasty of the talus.
Lesion excision procedures are best indicated for unstable lesions, lesions on the shoulders of the talus, and lesions greater than 150mm2. Osteochondral autologous transplants (OATS)/mosaicplasty procedures are utilized for lesions not located on the talus shoulder. Typically, the allograft is harvested from the non-weight bearing portion of the ipsilateral femoral condyle of the knee. The author (MM) has avoided comorbidities at the knee site by harvesting non-weight bearing talus autograft from the ipsilateral foot and backfilling with allograft bone or bone substitute matter.18 If lesions are significantly large and unstable, and if lesion salvage procedures fail, then en bloc talus allografts may be successful in postponing or preventing end-stage procedures such as tibio-talar arthrodesis, 3D-printed talus placement, or total ankle replacement procedures.
Conclusion
When dealing with pediatric ankle injuries including ankle sprains, the treating physician should always include osteochondral dissecans in the differential diagnosis. Early recognition and conservative treatment options are paramount to the long-term health of the child’s ankle. In situations that may require surgical intervention, it is important to appreciate diagnostic imaging such as radiographs and MRI so that the proper surgical protocol can be provided.
Mark Mendeszoon, DPM, is a senior partner at Precision Orthopaedic Specialties Inc. located in Chardon, OH. He is the director of University Hospitals Richmond Heights Medical Center Advanced Foot & Ankle Surgery. In addition, he is the owner of three Achilles Running Shops in Northeast Ohio and Erie, PA, as well as President of the Maple Leaf Track Club.
Hayley Iosue, DPM, is a third-year fellow with the University Hospitals Advanced Foot and Ankle Fellowship. She completed her residency at Beth Israel Deaconess Medical Center in Boston, MA.
- Hannon CP, Smyth NA, Murawski CD, et al. Osteochondral lesions of the talus: aspects of current management. Bone Joint J. 2014;96-B(2):164–171.
- Zengerink M, Struijs PA, Tol JL, van Dijk CN. Treatment of osteochondral lesions of the talus: a systematic review. Knee Surg Sports Traumatol Arthrosc. 2010;18(2):238–246.
- Letts M, Davidson D, Ahmer A. Osteochondritis dissecans of the talus in children. J Pediatr Orthop. 2003;23(5):617-625.
- Vannini F, Cavallo M, Baldassarri M, et al. Treatment of juvenile osteochondritis dissecans of the talus: current concepts review. Joints. 2015;2(4):188-191.
- Bauer RS, Ochsner PE. Zur Nosologie der Osteochondrosis dissecans der Talusrolle [Nosology of osteochondrosis dissecans of the trochlea of the talus]. Z Orthop Ihre Grenzgeb. 1987;125(2):194-200.
- Bruns J., Behrens P. Osteochondrosis dissecans. Arthroskopie. 1998;11(4):166–176.
- Vuurberg G, Altink N, Rajai M, Blankevoort L, Kerkhoffs GMMJ. Weight, BMI and stability are risk factors associated with lateral ankle sprains and chronic ankle instability: a meta-analysis. J ISAKOS. 2019;4(6):313-327.
- Higuera J, Laguna R, Peral M, Aranda E, Soleto J. Osteochondritis dissecans of the talus during childhood and adolescence. J Pediatr Orthop. 1998;18(3):328-32.
- Perumal V, Wall E, Babekir N. Juvenile osteochondritis dissecans of the talus. J Pediatr Orthop. 2007;27(7):821-825.
- Heywood CS, Benke MT, Brindle K, Fine KM. Correlation of magnetic resonance imaging to arthroscopic findings of stability in juvenile osteochondritis dissecans. Arthroscopy. 2011;27(2):194-199.
- Krüger JP, Hondke S, Endres M, Pruss A, Siclari A, Kaps C. Human platelet-rich plasma stimulates migration and chon- drogenic differentiation of human subchondral progenitor cells. J Orthop Res 2012; 30: 845-852.
- Smyth NA, Murawski CD, Haleem AM, Hannon CP, Savage-Elliott I, Kennedy JG. Establishing proof of concept: Platelet-rich plasma and bone marrow aspirate concentrate may improve cartilage repair following surgical treatment for osteochondral lesions of the talus. World J Orthop. 2012;3(7):101-108.
- Anderson J. and Swayzee Z. The use of human amniotic allograft on osteochondritis dissecans of the talar dome: a comparison with and without allografts in arthroscopically treated ankles. Surg Sci. 2015;6(9):412-417.
- Chuckpaiwong B, Berkson EM, Theodore GH. Micro-fracture for osteochondral lesions of the ankle: outcome analysis and outcome predictors of 105 cases. Arthroscopy. 2008;24(1):106–112.
- Kramer DE, Glotzbecker MP, Shore BJ, et al. Results of surgical management of osteochondritis dissecans of the ankle in the pediatric and adolescent population. J Pediatr Orthop. 2015;35(7):725-733.
- Farr J, Cole BJ, Sherman S, Karas V. Particulated articular cartilage: CAIS and DeNovo NT. J Knee Surg. 2012;25(1):23-29.
- Ronga M, Grassi FA, Montoli C, Bulgheroni P, Genovese E, Cherubino P. Treatment of deep cartilage defects of the ankle with matrix-induced autologous chondrocyte implantation (MACI). Foot Ankle Surg. 2005;11(1):29-33.
- Mendeszoon M, Wilson N, Avramaut K, Rodriguez R, MacEvoy A. Surgical Correction of OCD utilizing OATS procedure harvested from head of the talus. Northern Ohio Foot and Ankle Journal. 2015;2(9):2-9.









