By Erdi Özdemir, MD, and Michael Aynardi, MD
3rd generation MIS techniques have demonstrated promising results in short and midterm follow-up clinical studies.
Hallux valgus (HV) is a common forefoot problem with a reported prevalence of 23% in adults age 18–65 years and 35.7% in adults aged over 65 years. More than a hundred procedures were described to treat HV deformity. Traditionally, surgical treatment of HV included open osteotomies and soft tissue procedures. In recent years, minimally invasive surgery (MIS) techniques have gained popularity because they can potentially provide decreased postoperative recovery period, smaller incisions, and a greater range of motion. [Figure 1 ]
The early generation of MIS techniques lost their popularity due to high complication rates and a lack of promoting scientific evidence. The most common reasons were inadequate fixation, recurrence, and burr-related complications. However, the third-generation MIS techniques regained popularity with the utilization of a low-speed, high-torque Shannon burr with continuous irrigation devices and modern cannulated screw technology.
The most used techniques are minimally invasive distal metatarsal osteotomy and metaphyseal extra-articular transverse and akin osteotomy. Using beveled screws after MIS osteotomies reduced the hardware irritation rate. Promising outcomes were reported in multiple studies regarding MIS bunion surgery. Based on the published series, the most attractive advantage of MIS bunion surgery seems to be the reduced early postoperative pain scores compared to open bunionectomy. Given the growing trend in MIS techniques in foot and ankle surgery, we aimed to review the MIS bunion surgery surgical technique in this article.
Indications & Contraindications
MIS bunion surgery has a wide indication range. It can be used for mild to severe HV deformities. Excessive lateral translation of the distal fragment can correct severe deformities. The transverse osteotomy also allows deformity correction in the coronal plane. It can also be used in recurrent HV deformities and patients with fragile skin, especially in the elderly.
Contraindications for MIS bunion surgery include arthritis at the first metatarsophalangeal (MTP) joint requiring arthrodesis, severe instability at the first tarsometatarsal (TMT) joint, and neuromuscular disorders requiring fusion. There is also no evidence of MIS hallux valgus surgery in patients under the age of 16.
SURGICAL TECHNIQUE

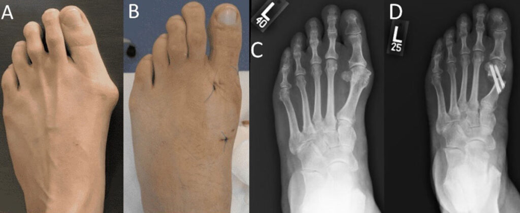
Figure 1. A) Preoperative appearance of a patient with hallux valgus deformity. B) Minimally invasive hallux valgus surgery is performed with percutaneous incisions. C) Preoperative and D) postoperative anteroposterior radiograph of a patient underwent minimally invasive hallux valgus surgery.
Surgical Preparation
The patient may be anesthetized with general anesthesia or sedation with a regional block. A supine position with a diving board is utilized. Depending on the surgeon’s preference, a tourniquet may be applied to any location proximal to the ankle joint. However, surgeons should be aware that working off tourniquet is highly recommended in MIS hallux valgus surgery to decrease the heat generated by the burr during osteotomy.
The operating room setup is designed based on the surgeon’s dominant hand. The side of the foot undergoing the surgery does not make a difference. Bilateral feet must be hanging off from the bed for better visualization of the foot with fluoroscopy. The mini C-arm should come from the right side of the patient, and it should be used as a table. The MIS power and burr are placed on the patient’s left side. The surgeon’s position depends on the foot being operated on. For the left foot, the surgeon needs to be left side of the patient, while for the right side, the surgeon needs to be distal to the foot.
Surgical Equipment
The MIS hallux valgus surgery is a technical procedure. The necessary equipment includes MIS power that can produce high torque and low speed, 20 mm Shannon burr, pencil burr driver, special periosteal elevators, 6400 beaver blade, beveled cannulated screws, and fluoroscopy.
Surgical Steps (Figure 2)

Figure 2. A) Osteotomy side is marked under fluoroscopy. After minimally invasive distal metatarsal transverse osteotomy, B) the metatarsal head is translated laterally and C) a guide wire is advanced to hold the metatarsal head. D) Beveled cannulated screws are introduced over the guide wires. E) Osteotomy side is marked for Akin osteotomy under fluoroscopy. F) Minimally invasive Akin osteotomy is performed with the Shannon burr and G) fixed with headless cannulated screw. H) Application of the HV spica bandage.
The surgery starts with identifying the topographic anatomy of the first metatarsal, proximal phalanx, and first MTP and TMT joints. The medial-lateral and dorsal-plantar borders of both the first metatarsal and proximal phalanx are marked with a marking pen under fluoroscopic guidance. The osteotomy location is determined using biplanar fluoroscopy proximal to sesamoids. A stab incision is made on the medial side of the osteotomy, staying midline in the sagittal plane. The periosteal elevator is then advanced to protect the extensor hallucis longus tendon and dorsomedial cutaneous nerve, thereby creating the working space for the burr. The Shannon burr is introduced under fluoroscopic guidance perpendicular to the metatarsal shaft if lengthening or shortening is not planned. The transverse osteotomy is performed with high-torque, low-speed burr irrigating copiously to avoid a thermal necrosis. Once the osteotomy is completed, the metatarsal head is translated laterally utilizing a head pusher. The metatarsal head can also be supinated at this point if preoperative pronation deformity exists. After correcting the HV deformity, the metatarsal head is locked with a K-wire placed through the head pusher. The position of the metatarsal head was confirmed with biplanar fluoroscopy to avoid any malposition. Then, a targeting guide is used to localize proximally for 2 beveled cannulated screws. Two guide wires are advanced over the targeting guide. The proximal screw commonly starts close to the first TMT joint, exits 8-10 mm proximal to osteotomy, and engages the lateral half of the first metatarsal head. The distal screw is placed parallel to the proximal screw engaging the medial half of the metatarsal head. An aggressive correction may result in a medial spike on the proximal fragment. In these cases, the medical spike should be removed with the burr to create a smooth contour.
In cases of accompanying hallux valgus interphalangeus deformity, minimally invasive Akin osteotomy is indicated. Using the previously marked topographic anatomy, osteotomy location is determined distal to the MTP joint line and midline in the sagittal plane of the proximal phalanx. A stab incision is made, and the surrounding soft tissue is elevated with the periosteal elevator. After establishing the working space, Shannon burr is introduced from the medial side to make the osteotomy. The lateral cortex should be kept intact to preserve stability. After completion of medial wedge osteotomy, fixation is performed with a cannulated headless screw.
Post-Operative Management
Patients are allowed to weightbear through their heels in a controlled ankle motion (CAM) boot for the first 6 weeks. Weight-bearing foot radiographs are obtained in the 6-week follow-up, and the patients are weaned from a CAM boot to regular shoes. Postoperative HV spica bandage is kept for 6 weeks. Patients are educated about doing HV spica bandage during early postop visits. Appropriate anticoagulation is initiated postoperatively.
A complete list of pearls and pitfalls for minimally invasive HV surgery can be found in Table 1 .
Discussion
There is a growing trend in MIS hallux valgus surgery due to the potential advantages such as less surgical dissection and rapid postoperative recovery. Recent series showed that MIS hallux valgus surgery had good outcomes in 2 years and 5 years. However, there was no significant difference in clinical and radiologic outcomes in 5 years between MIS and open HV correction.
Postoperative pain control seems to be one of the major advantages of MIS hallux valgus surgery. Lai et al compared the MIS metatarsal osteotomies and open scarf Akin osteotomies. The author reported MIS group had significantly lower average perioperative pain scores. Lee et al also showed that MIS surgery reduced postoperative pain compared to open Scarf Akin osteotomies. Michail et al suggested the mean oxycodone use in the first 2 weeks after MIS hallux valgus surgery was 2.2 tablets, and no patients required opioids after 2 weeks. Patient satisfaction after MIS is reported to be over 80%. MIS hallux valgus surgery has superior patient satisfaction in some series than open procedures. However, some studies reported similar satisfaction rates among open and MIS hallux valgus correction.
The complication rate for open HV surgeries is around 7-8%. There is a concern about the complication rate of MIS hallux valgus surgery as it is a new technique. In a recent systematic review, Gonzalez et al showed an overall 10.3% complication rate with MIS hallux valgus correction. Individual complication rates were reported as 2.2% recurrence, 2.4% nerve damage, and 0.4% nonunion. On the other hand, Barg et al. conducted a systematic review regarding complications of open hallux valgus surgery. The authors showed that distal metatarsal osteotomies had 4.1% recurrence, 3.3% nerve injury, and 0.01% nonunion. Based on these studies, the overall complication rate appears to be comparable between both open and MIS techniques. Although nonunion rates are still low, MIS hallux valgus surgery has a higher nonunion risk than open procedures. This can be related to heat generation during osteotomies, higher lateral translation amounts than open procedures, and the surgeons’ learning curve.
In conclusion, MIS hallux valgus correction is a sound alternative to open procedures. We believe MIS hallux valgus surgery can provide better postoperative pain control and higher patient satisfaction, especially in patients expecting cosmetic improvement. However, the MIS procedure still has drawbacks, such as a relatively higher nonunion rate. We strongly recommend that surgeons should be aware of the learning curve and limits of MIS hallux valgus surgery.
Erdi Ozdemir, MD, is with the Department of Orthopaedics & Rehabilitation at Penn State Health, Milton S. Hershey Medical Center in Hershey, Pennsylvania.
Michael Aynardi, MD, is with the Department of Orthopaedics & Rehabilitation at Penn State Health, Milton S. Hershey Medical Center in Hershey, Pennsylvania.
This article has been excerpted from “Minimally Invasive bunion surgery for hallux valgus: A surgical technique,” by the same authors. The article was published in the journal SurgiColl. 2024;2(1). doi:10.58616/001c.82177 Editing has occurred, including the removal of references for brevity. Use is per CC Attribution 4.0 International License.








