Ankle fractures can potentially limit an individual’s mobility, autonomy, and quality of life, making them devastating injuries for geriatric patients. Researchers from the Donald and Barbara Zucker School of Medicine at Hofstra/Northwell, in Hempstead, NY, wanted to better understand the functional outcomes and complications related to hindfoot nails (HFN)– a common treatment for this condition – in geriatric patients who have suffered an ankle malleolar or distal tibia fracture.
Using a case series format, data was collected from a single surgeon for patients who underwent HFN for acute fixation or delayed reconstruction after an ankle or distal tibia fracture for demographics, comorbidities, baseline functional status, AO/OTA classification, surgical indications, need for external fixation, total operative time, length of stay (LOS), ambulation at discharge, and discharge disposition. The study’s primary outcomes included 30-day complications, ambulation at follow-up, and time to fracture union and fusion.
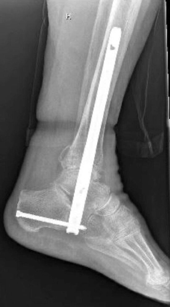
There were 22 patients (average age 80.8 years). Mean LOS was 7.0 days, and 68.2% were discharged to subacute rehabilitation. Within 30 days, 1 patient developed a deep vein thrombosis and bilateral pulmonary emboli, and 2 experienced wound dehiscence requiring antibiotics. At 6 weeks, 1 patient sustained a fall with periprosthetic fracture requiring HFN revision, and another developed cellulitis necessitating hardware removal. Fracture healing was seen in 72.7% at 19.4 weeks, while radiographic fusion occurred in 18.2% at 43.0 weeks. 72.7% were ambulating with an assistive device at discharge, and 100.0% at 12-weeks post-operatively or last follow-up. All patients were ambulating without pain, upon final examination.
As a reliable alternative to traditional open reduction internal fixation, HFNs have the ability to improve quality of life for geriatric patients through a faster return to weight bearing. Additionally, radiographic fusion rates show that patients have favorable functional outcomes even without formal arthrodesis.
The authors concluded that HFN is beneficial for elderly patients with low functional demand and complex medical comorbidities, as it allows for early mobility after sustaining an ankle or distal tibia fracture.
Source: Duvvuri P, Trout SM, Bub CD, Goldman AT. Use of a Hindfoot Nail Without Separate Subtalar and Tibiotalar Joint Preparation to Treat Geriatric Ankle and Distal Tibia Fractures: A Case Series. Geriatr Orthop Surg Rehabil. 2023;14:21514593231195239. doi: 10.1177/21514593231195239.






