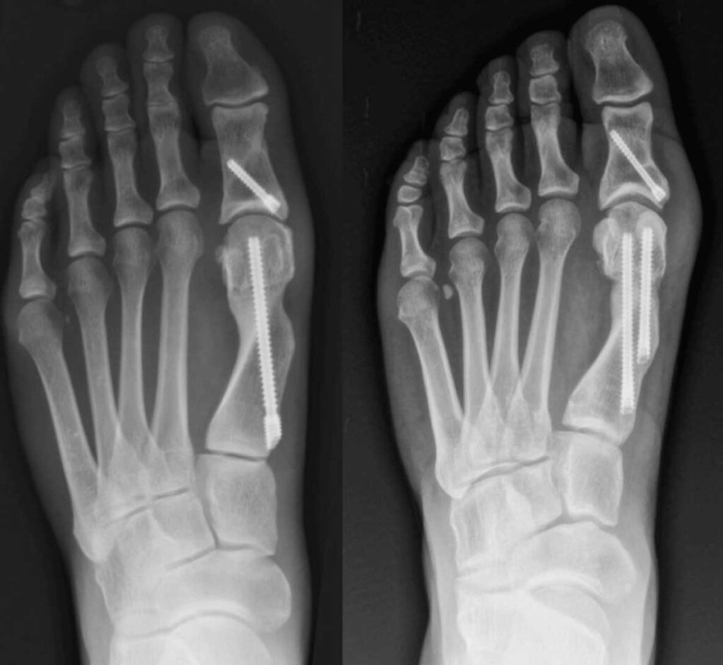
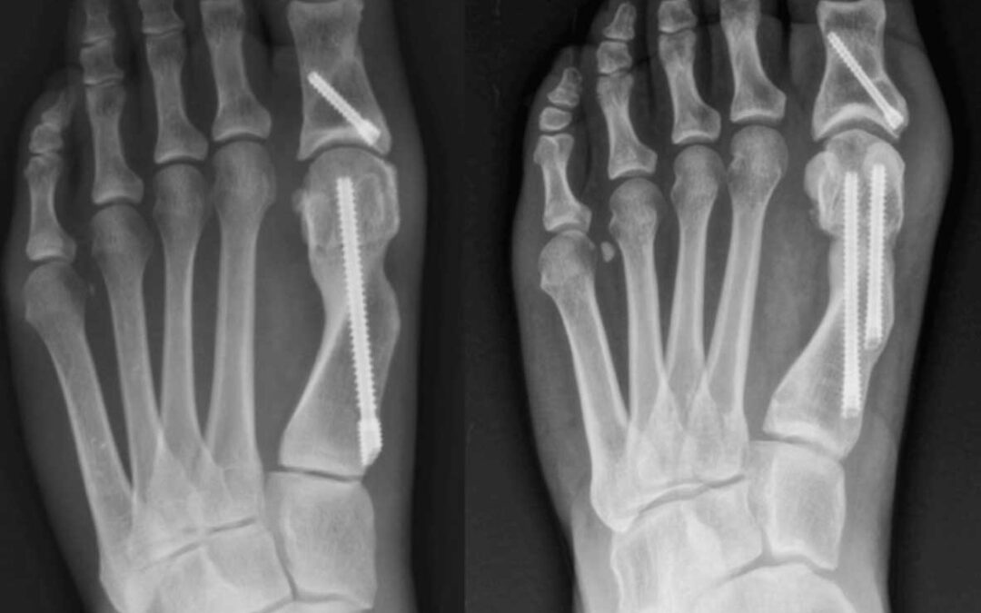
Radiographs demonstrating single-screw (left) and dual-screw (right) fixation following minimally invasive distal metatarsal osteotomy for hallux valgus correction.
Minimally invasive surgery (MIS) for hallux valgus has evolved significantly, with ongoing debate about optimal fixation methods. Fourth-generation techniques typically use 2 metatarsal screws; however, single screw fixation may reduce operative time, radiation exposure, and cost. This systematic review compares clinical outcomes, radiographic results, and complications between 1- and 2-screw metatarsal fixation in minimally invasive hallux valgus correction. Risk of bias was assessed using the Risk Of Bias in Non-randomized Studies of Interventions (ROBINS-I) tool. Primary outcomes included radiographic parameters (Hallux Valgus Angle (HVA), Intermetatarsal Angle (IMA), Distal Metatarsal Articular Angle (DMAA)) and clinical outcomes American Orthopaedic Foot & Ankle Society Score (AOFAS), Visual Analog Scale (VAS), Manchester-Oxford Foot Questionnaire (MOXFQ)). Secondary outcomes included operative details, complications, and revision surgery rates. Five studies met inclusion criteria: 2 clinical (n = 153 patients, 162 feet) and 3 biomechanical studies. Clinical studies showed comparable radiographic correction and patient-reported outcomes between fixation methods. Single screw fixation demonstrated significantly shorter operative time and reduced fluoroscopy exposure. Hardware-related complications requiring removal were higher in 2-screw groups (32% vs. 3% in one study; 1.9% vs. 0% in another). Biomechanical studies revealed that single screw fixation may provide insufficient rotational stability, while 2-screw configurations demonstrated improved construct stability. Current evidence suggests that single screw fixation may reduce radiation exposure, surgical time, and hardware removal rates, but offers reduced biomechanical stability compared to a 2-screw construct in patients undergoing minimally invasive hallux valgus surgery. Current evidence is insufficient to establish definitive recommendations, and fixation strategy should be individualized based on deformity characteristics and patient factors.
Source: Lewis TL, Fletcher L, Vulcano E, et al. One versus two screw fixation in minimally invasive hallux valgus surgery: a systematic review. Cureus. 2025 Nov 27;17(11):e97907. doi: 10.7759/cureus.97907.






