Glucagon-like peptide-1 receptor agonists (GLP-1 RAs) have become central to the treatment of type 2 diabetes mellitus (T2DM) and obesity, with proven benefits in glycemic control, weight loss, and cardiometabolic risk reduction. Despite emerging hypotheses suggesting possible skeletal benefits, long-term effects of GLP-1 RA exposure on…
Lower Extremity Review
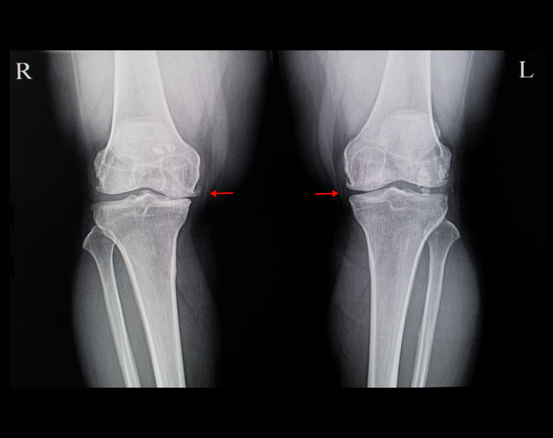
Robotic-Assisted Total Knee Arthroplasty is Associated with Improved Quality of Life and Increased Patient Satisfaction One Year after Surgery
Approximately 15–20% of patients undergoing conventional total knee arthroplasty (cTKA) report dissatisfaction one year after surgery. Robotic-assisted TKA (raTKA) provides greater precision in bone resection and ligament balancing, which may improve patient outcomes and satisfaction. The purpose of this study was to evaluate the impact of raTKA on…
Early Sports Specialization Is Associated with Increased Orthopaedic Injury Incidence in NFL Athletes
Single-sport specialization during adolescence has been increasingly adopted by youth athletes in pursuit of collegiate scholarships and professional careers. However, this early commitment to one sport has been associated with increased exposure to repetitive stress, potentially contributing to higher injury rates at elite levels. While the short-term musculoskeletal risks of…
E-Bike Orthopaedic Injuries Amongst Pediatric and Adolescent Patients at a Level I Trauma Center
Electronic bicycle (E-bike) use is on the rise in the United States. E-bikes are a convenient, cost-effective, environmentally friendly transportation option that do not require a license to operate. However, these conveniences come with significant injury risks. The aim of this study is to quantify the rates and patterns of orthopaedic injuries related to e-bike use compared…
AAOS Highlights New AJRR Data
The American Academy of Orthopaedic Surgeons (AAOS) Registry Program highlighted new findings from the American Joint Replacement Registry (AJRR) during the 2026 AAOS Annual Meeting in New Orleans. Analyses presented at the meeting examined implant survivorship, complication trends, and outcomes associated with…
2024 AJRR Report On Hip and Knee Arthroplasty Released
The American Academy of Orthopaedic Surgeons (AAOS) Registry Program released the American Joint Replacement Registry (AJRR) 2024 Annual Report Supplement during the AAOS 2025 Annual Meeting in San Diego.
Prior Authorization Does Not Reduce THA Costs, Delays Patient Care
Prior authorization (PA) has been implemented by payors in an effort to reduce unnecessary healthcare utilization. However, obtaining PA has been shown to increase the administrative burden and delay access to care. To our knowledge, the financial burden and cost-effectiveness of PA in total hip arthroplasty (THA) is yet to be determined.
Stop GLP-1 Agonists 14 Days Before TJA to Reduce Anesthesia Risks
Glucagon-like peptide-1 receptor agonists (GLP-1A) have advanced the treatment of type 2 diabetes and obesity. Given the prevalence of these conditions among candidates for total joint arthroplasty (TJA), managing GLP-1A in the perioperative period is crucial to minimize complications.
THA/TKA Improves Spouses Quality of Life Too!
Hip and knee arthritis is debilitating for patients but the decreased activity level and independence may also affect spouses. Spouses of individuals who have undergone THA or TKA often assume caregiving roles during the postoperative rehabilitation period but may benefit in the long term from increased patient activity levels.
Header Restriction Policy in Youth Soccer Shows Promising Impact on Concussion Rates
Soccer is one of the most popular youth sports in the United States and worldwide. Due to growing concerns regarding repeated head trauma, in 2015 the United States Soccer Federation (USSF) banned headers for athletes age 10 and under and limited athletes age 11 to 13 to practicing headers for 30 minutes per week.
Glatiramer Acetate Depot For Primary Progressive MS
While glatiramer acetate (GA; Copaxone®, Teva Neuroscience) has long been FDA-approved for relapsing forms of multiple sclerosis (MS), a new safety and efficacy snapshot study from Israel looked at its use in primary progressive MS (PPMS). Two GA depot doses (40 mg or 25 mg) were studied in a 12-week trial that included 30 patients…
MS Disease Progression Despite Early High-Efficacy Therapy
Today’s disease-modifying immunotherapies (DMTs) have altered the course of multiple sclerosis (MS) and led to the introduction of high-efficacy early treatment (HEET). However, HEET does not prevent a portion of patients from experiencing relapse activity and disease progression. This single-center retrospective analysis looked at…
Backward Walking Training in MS…
Backward Walking (BW), as compared with Forward Walking (FW), is known to better differentiate fallers from nonfallers in people with multiple sclerosis (MS). However, the effectiveness of BW training in improving walking and balance in the MS population is now well studied. Researchers from Wayne State University used interim data from an ongoing study to examine the issue.
Increased Fracture Risk for Older Pickleball Players
Pickleball has become one of the fastest-growing sports in America, and with its increased popularity, the number of associated injuries has also risen. A new study presented at the 2024 Annual Meeting of the American Academy of Orthopaedic Surgeons (AAOS), “Trends in Pickleball- Related Fractures in the United States: An Analysis of the 2002-2022 National Electronic Injury…
Sports Injuries in 65 and Older Projected to Grow by 123% by 2040
According to new data presented at the 2024 Annual Meeting of the American Academy of Orthopaedic Surgeons (AAOS), sports injuries in seniors have increased significantly from 55,684 in 2012 to 93,221 in 2021 in the United States with significant differences in the types of activities and injuries. The study, “Orthopaedic Sports Injuries in an Aging Population…
Join
Subscribe For Updates
Stay in the loop with the latest news and updates! Subscribe now to receive exclusive content, special offers, and important announcements straight to your inbox. Don’t miss out – join our community today for all the latest updates delivered directly to you.













